Il Giuramento di Ippocrate dei medici richiede di "non fare del male" (Primum non nocere). Nonostante ciò, la storia della medicina è piena di esempi che mostrano come questa regola spesso non sia stata applicata. Fin dagli albori della medicina, molti errori e ignoranze - ma soprattutto la testardaggine di chi si rifiutava di attenersi all'evidenza - hanno portato a trattamenti brutali, inefficaci e spesso pericolosissimi per il paziente.
Oggi possiamo ringraziare i progressi fatti in campo scientifico. Le scoperte di oggi sono sì state rese possibili da quelle di ieri, ma scorrendo la lista qui sotto vi renderete conto che queste conquiste sono state raggiunte sulla pelle dei meno fortunati che hanno vissuto nelle epoche passate. La lista di medicine e trattamenti assurdi e bizzarri del passato:
Alla fine del XIX secolo e all'inizio del XX, quando gli effetti pesantemente negativi della nicotina non erano ancora stati provati o accettati da tutti, fumare non era soltanto un'attività ricreativa, ma anche un trattamento medico per varie condizioni respiratorie. Si pensava, ed è davvero ridicolo anche solo pensarlo, che potesse aiutare per l'asma.

Inizialmente, l'eroina era stata inventata nel tentativo di produrre una droga simile alla morfine, ma meno potente e assuefacente. Ma è successo proprio l'opposto: l'eroina si è rivelata due volte più potente della morfina. Era prescritta per trattare la tosse, ma anche disturbi come il mal di schiena e l'insonnia. Dal 1898 al 1910, questi "sciroppi per la tosse" vennero commercializzati come un sostituto della morfina senza effetti collaterale, e diventarono presto la causa di moltissimi casi di dipendenza.

Sintetizzata per la prima volta da un chimico giapponese nel 1893, i suoi effetti negativi non vennero presi in considerazione, all'inizio. Anzi, le metanfetamine erano utilizzate contro la narcolessia e l'asma, ma anche, con grande leggerezza, commercializzata come un farmaco che aiuta a perdere peso.

Kellogg, l'uomo che inventò quelli che sono tra i cereali più famosi del mondo, era un medico e attivista. I suoi famosi corn flakes vennero inizialmente creati per abbassare l'eccitazione sessuale, e dunque la necessità di masturbarsi. La masturbazione era considerata un peccato nel XIX secolo, ma era convinzione di Kellogg che una dieta sana avesse un grande effetto nel ridurre l'eccitazione. Purtroppo aveva torto, ma di certo il suo prodotto ebbe un gran successo.

Il tonico Vin Mariani, introdotto nel 1863, venne pubblicizzato come vino ma anche come cura generale per il corpo. Divenne presto molto famoso, ed era consumato anche da persone molto famose (persino dal Papa). Il tonico ispirò anche l'invenzione della Coca Cola. La ragione del suo successo? La cocaina.

Prima che venisse sviluppato un vaccino nel 1950, la poliomielite affliggeva molte persone del mondo, devastandone la vita. Nei casi più gravi impediva la respirazione, per via della paralisi dei muscoli del petto. In questo caso era necessario inserire il paziente nel "polmone d'acciaio", una sorta di cabina orizzontale dove il paziente doveva stare sdraiato per settimane o - ebbene sì - anche per il resto della vita. In ogni caso, il polmone d'acciaio salvò moltissime vite.

Nel periodo Vittoriano molte persone sceglievano una soluzione radicale, pur di dimagrire: il verme solitario. Una persona doveva solamente ingerire un uovo, e il passita nasceva e cresceva negli intestini, iniziando ad ingerire qualsiasi cosa la persona mangiasse. Questo - si pensava - permetteva alla persona di perdere peso continuando a mangiare a volontà. Oggi si sa che il verme solitario può essere decisamente pericoloso, e in alcuni casi letale, anche se la pratica non è del tutto scomparsa.

All'inizio del XX secolo, quando i trattamenti delle malattie mentali erano ancora pressoché inesistenti, venne inventata la lobotomia. Benché non ci fossero prove dell'efficacia di questa procedura, che prevedeva la recisione di alcune vie nervose nei lobi cerebrali, essa divenne ampiamente usava. La disinformazione dei media portò molte persone a credere che fosse addirittura una cura pericolosa. Ci vollero un po' di anni prima che ci rendesse conto che si trattava di uno dei più imbarazzanti errori della medicina moderna.

All'inizio del XX secolo i pazienti affetti da sifilide venivano trattati con la "malarioterapia". Le persone venivano infettata deliberatamente con la malaria per indurre uno stato febbrile, che era sufficiente per uccidere i batteri della sifilide, molto sensibili alla temperatura. Il 15% dei pazienti trattati in questo modo morirono per la malaria. Gli altri, però, mostrarono dei grandi miglioramenti.

Due secoli fa c'era un trattamento rivoluzionario per i reumatismi, introdotto sulle coste d'Australia: sedere dentro a una carcassa di balena in putrefazione. Si credeva che, se una persona stava dentro a una carcassa per 30 ore, i dolori sarebbero scomparsi per 12 mesi. Chiaramente non esistono prove scientifiche a supporto di questa bizzarra pratica.

Negli anni '20 le bibite energetiche non contenevano caffeina o taurina, come oggi, ma il radio. Una delle più famose bevande energetiche è RadiThor, che consisteva in radio disciolto nell'acqua.

Per centinaia di anni, fino agli anni '90 del 1800, era comune usare reali parti del corpo umano come ingredienti di varie medicine. Il fegato veniva prescritto a quelli che soffrivano di epilessia. Ma sangue, grasso, ossa e muscoli erano le parti più comunemente utilizzate. Durante il XVI e il XVII secolo, molti medici prescrivevano "medicina di cadavere". Un rimedio molto ricercato erano la polvere di mummia. Arrivavano dall'Egitto di contrabbando, e venivano usate come trattamento per epilessie e emorragie.

Conosciuta come una delle pratiche più antiche, il salasso risale almeno all'antico Egitto ed era molto comune nell'Europa medievale, per il trattamento di vaiolo e peste. Ma era praticato ancora nel 19esimo secolo. Tuttavia, rimuovere così tanto sangue dal corpo - ed è ovvio - espone a rischi considerevoli.

Oggi sappiamo che l'esposizione al mercurio è molto pericolosa. Inalarne i vapori può danneggiare gli organi interi e può essere fatale. Se ingerito è decisamente velenoso. Ma il mercurio veniva usato per "prolungare la vita" e migliorare la salute. Era anche l'ingrediente chiave in prodotti per trattare depressione, sifilide e influenza.

L'arsenico non è soltanto un veleno adorato dai giallisti classici, come Agatha Christie. Fin da tempi antichi, però, era usata come medicina, per trattare malattie tropicali e sifilide.

La trapanazione del cranio avviene dalla preistoria. Benché gli scienziati non siano sicuri dei motivi per cui veniva praticata in tempi molto antichi, di recente era uno dei trattamenti per i traumi alla testa.

Gli antichi egizi erano davvero creativi quando si tratta di prevenire gravidanze indesiderate. Uno dei metodi era inserire sterco di coccodrillo nella vagina. Non è chiaro se il metodo avesse una qualsiasi efficacia, ma è evidente la sua pericolosità.

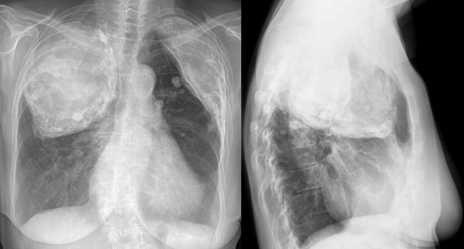
Prima dell'introduzione di una medicina contro la tubercolosi, la pleumonolisi era utilizzata per affrontare il malanno, tra gli anni '30 e i '50. Si trattava di far collassare un polmone creando una cavità sotto le costole superiori. Si credeva che un polmone collassato potesse guarire più velocemente. Ovviamente anche questa era una pratica che creava soltanto complicazioni.

Prima che venissero inventate reali medicine contro il dolore, ci sono stati diversi tentativi bizzarri. Uno dei trattamenti più schifosi e meno efficaci prevedeva la poltiglia di topo morto, mischiata con qualche altro ingrediente in una pasta che veniva applicata sulla zona interessante. Benché non aiutasse affatto ad alleviare il dolore, questo impasto procurava spesso gravi infezioni.

Oggi l'emiglossectomia viene effettuata in casi gravi, come il cancro alla bocca. Ma nel XVIII e nel XIX secolo era un barbaro trattamento per il balbettamento. I dottori credevano che il problema fosse causato dalla lingua, e dunque ne tagliavano una parte. Era un "rimedio" inefficace ma decisamente pericoloso, crudele, e a volte mortale.

I clisteri di fumo di tabacco venivano effettuati nel XVIII secolo per trattare diversi malanni, tra cui mal di testa, difficoltà respiratorie, raffreddore, crampi addominali. Si credeva che la nicotina stimolasse le ghiandole surreali, e se "soffiata" nell'ano poteva promuovere la produzione di adrenalina, aiutando il paziente a sopravvivere. Ma l'effetto era difficilmente quello sperato.
(lista originale di BoredPanda)